Дитячий сайт для батьків Твоя дитина
Вагітність Дитина Розвиток Дозвілля Довідка





ВАГІТНІСТЬ
Вагітність
Вірші
Листівки вагітної
Ідеї фотосесій для вагітних
Пологи
Перші дні нового життя
Грудне вигодовування
Планування статі дитини
Кулінарна книга годуючої мами


Календар вагітності / 3 тиждень вагітності

Жінка

На цьому тижні вирішиться найголовніше питання - бути або не бути вагітності? У Вас відбулася овуляція і яйцеклітини в матковій трубі готова до запліднення.

Саме час для зустрічі з підприємливими сперматозоїдами! Якщо така зустріч пройшла вдало - можете привітати себе з вагітністю. В наприкінці цього тижня відбудеться впровадження (імплантація) плодового яйця в стінку Вашої матки. У деяких жінок це супроводжується микрокровотечением, не складовим, втім мало-мальськи значущої проблеми.

Починають з'являтися перші зміни у Вашій імунній системі - виробляється Ранній Фактор Вагітності (по-англійськи - EPF). Ця речовина допомагає плодному яйцю "обдурити" Ваш організм (справа в тому, що половина генів Вашого майбутнього малюка має батьківське походження, а значить, білки плода є чужорідними для Вашого організму). Для запобігання конфлікту між Вашими імунними клітинами і клітинами плода і потрібен EPF.

Рекомендації до 1-го тижня залишаються в силі.

Майбутня дитина

Яйцеклітина і сперматозоїд зустрілися в матковій трубі. В результаті їх злиття утворилася зигота - перша і найголовніша клітина Вашого майбутнього дитини. Всі наступні 100 000 000 000 000 клітин його організму є дочками зиготи! Зигота починає ділитися, одночасно подорожуючи по матковій трубі в напрямку до Вашої матці. Через три доби після запліднення зародок складається з 32 клітин і за формою схожий на ягоду шовковиці. До кінця цього тижня число клітин зросте до 250, форма буде нагадувати порожнистий кульку з діаметром 0,1 - 0,2 мм.

Тепер вчені назвали б Вашого майбутнього малюка бластоцистой.

Бластоциста руйнує маленькі ділянки слизової оболонки та інших тканин матки, як би "вириваючи" для себе невеличку "нірку", після чого затишно в ній влаштовується. До речі, при цьому колу "норки" виникають мікроскопічні крововиливи, про які йшлося трохи раніше.

Процес впровадження називається імплантацією. І якщо імплантація пройшла успішно, то розвиток зародка піднімається на нову ступінь - тепер його "постачання" будуть забезпечувати Ваші органи і системи, а не скромні запаси поживних речовин, зроблені яйцеклітиною.

У період від запліднення до імплантації різні пошкоджуючі дії можуть порушувати або все, або нічого. У першому випадку зародок гине, у другому - знаходить резерви для виправлення пошкоджень (якщо в подальшому не буде неприємних сюрпризів, то не залишиться навіть слідів від цих пошкоджень).

Сперматозоїди атакують яйцеклітину. Видовище фантастичне! Спермії синхронно б'ють хвостами, змушуючи яйцеклітину повільно обертатися проти годинникової стрілки. Всередину потрапить тільки один з них.

Зигота: ДНК сперматозоїда вже всередині яйцеклітини. Незабаром відбудеться злиття батьківській і материнській половин генетичної програми і розпочнеться перший поділ клітини.

Перші добу після зачаття. У яйцеклітини вже дві дочки.

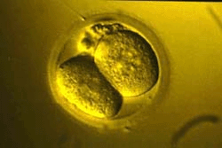
Другу добу після зачаття. Ділення продовжується.

Другі - початок третьої доби після зачаття. Бластомерів вже вісім. При штучному заплідненні (дитина "з пробірки") в матку жінки підсаджують саме такий зародок.

Це бластоциста. Схожа на шовковичну ягоду?

Схема. Бластоциста наближається до стінки матки.

Схема. Бластоциста починає впроваджуватися (імплантуватися) під слизову оболонку.

Схема. Імплантація практично закінчена. Навколо зародка зазвичай бувають ділянки крововиливів, які можуть призводити до микрокровотечениям.

Джерела ілюстрацій:
The Visible Embryo,
Embryo Development

Повернутися в календар вагітності

Інші тижня в календарі вагітності:

Джерело: mama.ru

ВИГОТОВЛЕННЯ
ЗАПРОШЕНЬ
КУЛІНАРНА
КНИГА
ГОДУЮЧОЇ МАМИ
КАЛЕНДАР
ВАГІТНОСТІ
ДЛЯ МАЙБУТНІХ МАМ
РОЗМАЛЬОВКИ
ДЛЯ
СКАЧУВАННЯ
ДОВІДНИК
ЛІКАРСЬКИХ ЗАСОБІВ
ДЛЯ ДІТЕЙ
Дитячий сайт для батьків: статті, розмальовки, дозвілля, розвиток дитини